Endoscopia Digestiva Alta o Gastroscopia
Si necesita consultar algo más puede escribir a nuestro Whatsapp empresa donde atenderémos tus preguntas más generales
Es un exámen que permite ver directamente, desde adentro, el esófago, en estómago y el duodeno
A través de un endoscopio, se pueden introducir instrumentos pequeños y usarse para:
Mediante este estudio, se puede diagnosticar diferentes lesiones, benignas y malignas, tomar pequeñas muestras de tejido (biopsias) para analizar, sin causarle dolor, y también realizar distintos tratamientos, como sacar pólipos (lesiones como verrugas).
Balón Gástrico
El balón gástrico, también denominado balón intragástrico, El globo intragástrico es un nuevo tipo de procedimiento para bajar de peso. Se coloca un globo de silicona relleno de solución salina en el estómago que te ayuda a bajar de peso al limitar la cantidad de alimentos que puedes ingerir. También te hace sentir más satisfecho con mayor rapidez.
Este procedimiento es una opción si tienes sobrepeso u obesidad y la dieta y el ejercicio no te han dado resultado.

Coagulación con Argón Plasma
Es una nueva modalidad electroquirúrgica especial, en la que la corriente eléctrica de alta frecuencia es conducida sin contacto físico en forma alternante a través de gas argón hacia el tejido a ser tratado.
Su efectividad fue inicialmente reportada en el tratamiento paliativo de neoplasias gastrointestinales y, posteriormente, su uso se ha extendido para múltiples indicaciones, entre ellas el tratamiento de sangrado debido a angiodisplasias, proctitis por radioterapia y hoy en día es utilizada para control de hemorragia gastrointestinal en lesiones vasculares como Dieulafoy.

Cuerpo Extraño en el Aparato Digestivo
La impactación de un bolo alimentario en el esófago o la in- gestión de un cuerpo extraño constituyen una situación clínica frecuente que requiere una valoración endoscópica urgente. La mayoría de los cuerpos extraños ingeridos pasan por el tracto digestivo sin producir síntomas.
La evaluación y tratamiento dependerá del tipo de cuerpo extraño y de cómo se haya introducido.

Desgarro de Mallory-Weiss
Se refiere a laceraciones en la membrana mucosa del esófago, normalmente causados por hacer fuertes y prolongados esfuerzos para vomitar o toser.
El diagnóstico y tratamiento se realiza con una endoscopia, para suturar o ligar una arteria sangrante.

Ectasia Vascular Antral (GAVE)
Es una causa poco común de sangrado gastrointestinal crónico con características endoscópicas e histológicas propias. Los hallazgos endoscópicos son característicos:
Imágenes lineales, orientadas en forma radial partiendo del píloro (imagen de estómago en sandía o watermelon stomach).

Esófago de Barret
El esófago de Barrett suele ser el resultado de la exposición repetida al ácido estomacal. Generalmente se diagnostica junto con la enfermedad del reflujo gastroesofágico (ERGE) a largo plazo.
El esófago de Barrett sólo es una condición premaligna, La mayoría de los pacientes no padecerán cáncer.

Estenosis Benigna del Aparato Digestivo
La estenosis benigna es un estrechamiento de un conducto, ya sea esófago, estómago o intestino. Esto ocasiona dificultad para pasar el alimento, con diferente sintomatología, como dificultad para tragar, vómitos, impactación de la comida, etc. Benigna significa que no es causada por cáncer.
La dilatación es un procedimiento que le permite a su médico dilatar, o ensanchar, un área estrechada de la vía digestiva. Los médicos pueden utilizar varias técnicas para este procedimiento.

Gastritis
La gastritis es una inflamación de la mucosa gástrica, que es la capa de células que reviste el estómago.
Puede estar ocasionada por infecciones, lesiones, el uso frecuente de analgésicos llamados AINE y demasiado alcohol.
Algunos de los síntomas incluyen dolor en la parte superior del vientre, náuseas y vómitos. En algunos casos, no se presentan síntomas

Gastritis por Helicobacter Pylori
La infección por Helicobacter pylori es la causa más frecuente de gastritis y de úlcera gastroduodenal (úlcera péptica) y ciertos tipos de cáncer en todo el mundo.
La infección está provocada por un tipo de bacteria llamadaHelicobacter pylori (H. pylori).

Hemorragia Gastrointestinal
También llamada hemorragia digestiva, es una forma de hemorragia en el tracto gastrointestinal que puede originarse en el esófago, estómago, duodeno, intestino delgado, colon y recto.
Se manifiesta por vómitos que contienen sangre de color rojo o negro (hematemesis), expulsión de sangre de color rojo a través de las heces (rectorragia), o heces negras (melenas).

Hernia Hiatal
La hernia de hiato se produce cuando la porción superior del estómago asciende hacia el tórax a través de una pequeña abertura que existe en el diafragma (hiato diafragmático). Ingresa mediante un orificio donde el esófago se conecta con el estómago.
Las hernias de hiato pueden no presentar síntomas. En algunos casos, pueden estar asociadas con la acidez estomacal y la incomodidad abdominal.
Las hernias de hiato pueden no requerir tratamiento. Algunas se tratan con fármacos y otras pocas pueden necesitar intervención quirúrgica.

Lesión de Dieulafoy
Es una anomalía vascular localizada generalmente en estómago proximal y consiste en la presencia de una arteria de gran calibre en la submucosa y ocasionalmente en la mucosa, aunque el diagnóstico definitivo es anatomopatológico, con la endoscopia se puede alcanzar una precisión elevada.

Ligadura de Varices
La cicatrización (cirrosis) del hígado es la causa más común de várices esofágicas. Está cicatrización del hígado reduce el flujo de sangre a través del hígado. Como resultado, hay más flujo de sangre a través de las venas del esófago.
La ligadura endoscópica de várices de esófago es una técnica desarrollada para el tratamiento de las várices sangrantes de esófago, que ha demostrado ser tan efectiva como la esclerosis endoscópica, con menor incidencia de complicaciones.

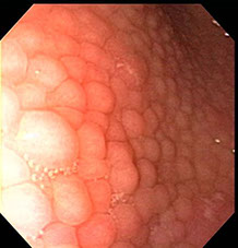
Poliposis Gástrica
Los pólipos gástricos (PG) son lesiones originadas en la mucosa gástrica que se presentan frecuentemente y de manera incidental. Aunque la presencia de pólipos en el estómago es un hecho bastante frecuente, su diagnóstico es generalmente casual, al ser en la mayoría de los casos asintomáticos. El término poliposis gástrica difusa hace referencia a la presencia de múltiples pólipos que cubren gran parte de la mucosa gástrica.
La polipectomía gástrica es una técnica que se realiza por vía oral aplicada al tracto superior digestivo que tiene como finalidad la resección de pólipos.

Polipectomía Avanzada: Resección Endoscópica de la Mucosa (REM)
La resección endoscópica de la mucosa, o REM, utiliza un endoscopio especialmente diseñado para retirar tejido o pólipos sospechosos del esófago, estómago o duodeno. Luego se utiliza la succión para levantar el bulto y separarlo del tejido que lo rodea. Con ello se consigue la eliminación de lesiones sospechosas de albergar cáncer desde la raíz.

Prótesis para Padecimientos Malignos
La obstrucción gastrointestinal neoplásica está causada en la mayoría de los casos por cánceres en grado avanzado pancreáticos, gástricos, duodenales y de la vía biliar. Se colocan prótesis, es decir stent, cuando hay problema de obstrucción de la vía digestiva por cáncer.
La inserción de prótesis es una medida paliativa aceptable, como una opción para conseguir un adecuado vaciamiento gástrico sin la necesidad de cirugía, con menor mortalidad relacionada con el procedimiento y menor coste, proporcionando una mejor calidad de vida.

Reflujo Gastroesofágico
El reflujo gastroesofágico es un fenómeno físico mediante el cual el ácido del estómago regresa al esófago. Los síntomas de acidez estomacal se presentan cuando una excesiva cantidad de reflujo ácido regresa al esófago. Muchos describen la acidez estomacal como una molestia en forma de ardor localizada por detrás del esternón, que sube hacia el cuello y la garganta, y algunas personas hasta sienten el sabor agrio o amargo del ácido en la parte posterior de la garganta.

Sonda de Alimentación Nasoyeyunal Colocada por Endoscopia
Una sonda de alimentación es un dispositivo médico que se utiliza para proporcionar nutrición a pacientes que no pueden alimentarse por vía oral, son incapaces de tragar con seguridad o que necesitan suplementos nutricionales. La sonda nasoyeyunal (NJ, por sus siglas en inglés) es un tubo que lleva los alimentos a través de la nariz hasta el yeyuno (parte del intestino delgado). La sonda NJ es suave y flexible para que pueda pasar fácilmente a través de la nariz y el estómago. Esta indicada cuando se pronóstica que el paciente necesitará alimentación asistida por mas de 1 mes hasta valorar su recuperación.

Sonda de Alimentación Percutánea por Gastrostomia
PEG significa gastrostomía endoscópica percutánea, un procedimiento mediante el cual se coloca un tubo flexible de alimentación a través de la pared abdominal hasta el estómago. Permite la nutrición, la administración de líquidos y/o medicamentos directamente en el estómago, sin pasar por la boca y el esófago. Está es colocada mediante endoscopia, sin la necesidad que el paciente pase por el quirófano y sin requerir que el paciente se hospitalice en la mayoría de los casos.

Comunícate Vía Whatsapp . . .
Selecciona un procedimiento
Gastroendoscopía
Colonoscopía
Enteroscopía
Endoscopía ERCP
Si tiene dudas referidas a posibles complicaciones, se recomienda consultar con su Médico
CENTRO HOSPITALARIO LA PAZ
4a. calle 23-61 zona 3 Quetzaltenango, Guatemala
(Anteriormente la Plaza Ciani)
Clínica: No. 423 Cuarto Nivel
Teléfonos Citas: 7761 7682, 7765 1739, Urgencias: 5020 2740, 3218 2524
E-Mail: contacto@gastrodigestxela.com
HOSPITAL PRIVADO LA DEMOCRACIA
13 Avenida 6-51 zona 3, Quetzaltenango, Guatemala
(Subiendo la Cuesta Blanca, frente a Edificio Médico San Lucas)
Clínica: No. 22, Segundo Nivel
Teléfono de citas: 7932 9820, Urgencias:5020 2740, 3218 2524
E-Mail: contacto@gastrodigestxela.com