Enfermedades del Higado y Vías Biliares
Selecciona una etiqueta para ver la descripción
Absceso Hepático
Un absceso hepático es una masa llena de pus dentro o asociado al hígado. Las causas más comunes son las infecciones abdominales, tales como una apendicitis, diverticulitis, una enfermedad inflamatoria intestinal, un intestino perforado, infecciones sistémicas como una endocarditis bacteriana o la manipulación del tracto biliar.

Cirrosis Hepática
La cirrosis es una etapa tardía de la formación de cicatrices (fibrosis) en el hígado causada por diversas afecciones y enfermedades hepáticas, como hepatitis y alcoholismo crónico. El hígado desempeña diversas funciones necesarias, que incluyen eliminar sustancias perjudiciales del cuerpo para desintoxicarlo, limpiar la sangre y producir nutrientes vitales.
La cirrosis se produce en respuesta a los daños en el hígado.
Cada vez que el hígado se lesiona, este intenta repararse por sus propios medios. En el proceso, se forma tejido cicatricial. A medida que la cirrosis avanza, se forma cada vez más tejido cicatricial, lo que dificulta el funcionamiento del hígado.
La cirrosis descompensada es la expresión utilizada para describir el desarrollo de complicaciones específicas que surgen debido a los cambios que acarrea la cirrosis.
La cirrosis descompensada es potencialmente mortal.

Colangitis Biliar Primaria
La colangitis biliar primaria, a veces, llamada «CBP», es una enfermedad en la que las vías biliares del hígado se destruyen lentamente.
La bilis, líquido que se produce en el hígado, desempeña una función en la digestión de los alimentos y ayuda a que el organismo se deshaga de los glóbulos rojos desgastados, el colesterol y las toxinas.
Cuando las vías biliares están dañadas, como ocurre en la colangitis biliar primaria, las sustancias dañinas pueden acumularse en el hígado y, a veces, causar una cicatrización irreversible del tejido hepático (cirrosis).

Colangitis Esclerosante Primaria
La colangitis esclerosante primaria es una enfermedad de los conductos biliares. Los conductos biliares llevan la bilis, que es un líquido digestivo, del hígado al intestino delgado.
En la colangitis esclerosante primaria, la inflamación causa cicatrices dentro de los conductos biliares.

Colecistitis Aguda
La colecistitis aguda es la inflamación de la vesícula biliar que se desarrolla en horas, en general debido a la obstrucción del conducto cístico por un cálculo.
Los síntomas abarcan dolor en el cuadrante superior derecho del abdomen e hipersensibilidad a la palpación en esa área, a veces asociados con fiebre, escalofríos, náuseas y vómitos.

Coledocolitiaisis
La coledocolitiasis es la presencia de cálculos en la vía biliar principial. Los cálculos así impactados pueden ser pequeños o de gran tamaño, únicos o múltiples y tienden a aparecer en un 6-12% de los pacientes con colelitiasis.

Colelitiasis y Colecistitis
En medicina, la Colelitiasis, comúnmente conocida como cálculos biliares o litiasis biliar, se refiere a la formación de cálculos en la vías biliares, sobre todo en la vesícula biliar. Son acrecencias de materias sólidas que pueden ser tan pequeñas como granos de arenilla o, en ocasiones excepcionales, tan grandes que ocupan toda la vesícula.
La Colecistitis es una inflamación de la pared de la vesícula biliar. El proceso inflamatorio una vez iniciado genera cambios notorios a nivel microscópico y macroscópico que evolucionan desde una simple congestión, pasan por una fase de supuración, otra de gangrenación y otra de perforación.

Enfermedad Hepática Poliquistica
La enfermedad poliquística hepática aislada (PCLD) es un trastorno genético que se caracteriza por la aparición de numerosos quistes por todo el hígado y que en la mayoría de los casos se describe como una enfermedad poliquística hepática autosómica dominante (ADPCLD).
Afecta con mayor frecuencia a mujeres que a hombres. Los quistes suelen aparecer después de los 40 años de edad y no son detectables antes. Su número y tamaño se incrementa con la edad. Los síntomas dependen de la masa (efecto de compresión) y pueden incluir distensión abdominal, reflujo gastro-esofágico, saciedad precoz, disnea, disminución de la movilidad y dolor en la espalda por la hepatomegalia. Algunos pacientes están asintomáticos.

Enfermedades de Depósito (Hierro, Cobre)
Las enfermedades hepáticas por depósito de metales, proteínas, lípidos y otras sustancias constituyen un amplio espectro de trastornos metabólicos hereditarios o adquiridos, que conducen a distintos grados de insuficiencia hepática aguda o crónica.
Sólo las hepatopatías inducidas por el depósito de hierro y cobre disponen de medidas terapéuticas específicas, si se inicia el tratamiento precozmente, para evitar o modificar el curso espontáneo de la enfermedad.
En el resto de hapatopatías no hay un tratamiento médico eficaz; muchas de ellas evolucionan hacia la insuficiencia hepática con un pronóstico fatal, y el trasplante hepático es la única alternativa terapéutica viable.

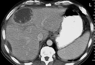
Hemangioma y Otras Lesiones Vasculares
El hemangioma hepático es el tumor benigno del hígado más frecuente; suele ser de pequeño tamaño, único o múltiple, pero en ocasiones supera los 4 cm, denominándose hemangioma hepático gigante. En general son asintomáticos y se detectan de forma casual, aunque a veces, pueden provocar dolor o molestias abdominales.

Hepatitis Alcohólica
La hepatitis alcohólica, es la inflamación hepática debido al consumo excesivo de alcohol.
Mientras la cirrosis es una etapa tardía de la hepatopatía alcohólica, la hepatitis alcohólica es una etapa temprana de la enfermedad.
Síntomas como ascitis, edema, fatiga, ictericia, y encefalopatía hepática pueden variar según la respuesta del propio organismo.
Muchos casos son autolimitados, mientras que aquellos casos más severos incluso ponen en riesgo la vida del paciente.

Hepatitis Autoinmune
La hepatitis autoinmune es una enfermedad crónica del hígado, no muy frecuente y de causa desconocida.
La causa es una alteración de la respuesta inmunológica del propio enfermo, que destruye las células hepáticas e inflama el hígado. Suele tener un curso crónico con brotes de actividad potencialmente graves.
Si la situación se mantiene, aparece en el hígado un proceso de cicatrización o fibrosis que conduce a cirrosis e insuficiencia hepática.
El pronóstico de la enfermedad mejora mucho cuando los pacientes son tratados con fármacos que disminuyen la respuesta inmunológica y la inflamación (inmunosupresores).

Hepatitis Viral
La hepatitis es la inflamación del hígado. En el mundo, la hepatitis viral suele estar provocada por el virus de la hepatitis A, B o C.
Los distintos tipos de hepatitis se propagan de diferentes maneras, inclusive a través de las relaciones sexuales, compartir agujas o ingerir alimentos sucios.
A veces, la hepatitis viral desaparece por sí sola. En otros casos, el virus es crónico y puede provocar problemas de salud graves. La vacunación puede prevenir las hepatitis A y B, pero no C.

Hepatocarcinoma (Cáncer de Hígado)
La cirrosis es una etapa tardía de la formación de cicatrices (fibrosis) en el hígado causada por diversas afecciones y enfermedades hepáticas, como hepatitis y alcoholismo crónico. El hígado desempeña diversas funciones necesarias, que incluyen eliminar sustancias perjudiciales del cuerpo para desintoxicarlo, limpiar la sangre y producir nutrientes vitales.
La cirrosis se produce en respuesta a los daños en el hígado.
Cada vez que el hígado se lesiona, este intenta repararse por sus propios medios. En el proceso, se forma tejido cicatricial. A medida que la cirrosis avanza, se forma cada vez más tejido cicatricial, lo que dificulta el funcionamiento del hígado.
La cirrosis descompensada es la expresión utilizada para describir el desarrollo de complicaciones específicas que surgen debido a los cambios que acarrea la cirrosis.
La cirrosis descompensada es potencialmente mortal.

Hígado Graso
a esteatosis hepática, también conocida como hígado graso (o FLD en inglés), es la forma más frecuente de esteatosis, no siempre se acompaña de lesión hepática debido a la gran capacidad funcional del hígado.
Se produce hepatomegalia y el hígado adopta un aspecto moteado y blando.

Ictericia Obstructiva y No Obstructiva
La ictericia obstructiva se produce como consecuencia de la interrupción o la dificultad al flujo de bilis en cualquier punto entre el canalículo biliar y el duodeno. Se caracteriza por hiperbilirrubinemia directa y elevación de enzimas de colestasis.
La ictericia no obstructiva es la más difícil de investigar, en algunos casos, dado que están involucradas las causas prehepáticas, por destrucción de eritrocitos (anemia hemolítica) o por el aumento de bilirrubina libre a causa de bajos niveles de albúmina, su principal transportador (hipoalbuminemia). Algunos ejemplos son la enfermedad de Gilbert, la hemólisis debido a esplenomegalia, y la eritropoyesis inefectiva, o bien, estrictamente causas hepáticas, por problemas con el árbol biliar dentro del hígado que puede ser por destrucción de los hepatocitos, así como alteraciones del flujo por estos conductos. Algunos ejemplos son la cirrosis hepática, la hepatitis viral aguda, la hepatitis crónica y la enfermedad de Wilson.

Síndromes de Sobreposición
El término overlap syndrome o síndrome de sobreposición ha sido propuesto para identificar pacientes que además de padecer de Hepatitis Autoinmune HA diagnósticados según el sistema de puntuación propuesto por el Grupo Internacional de Hepatitis Autoinmune, padecen también de otras patologías hepáticas colestásicas autoinmunes como Colangitis Biliar Primaria o Colangitis Esclerosante Primaria.

Tumores Benignos del Hígado
La cirrosis es una etapa tardía de la formación de cicatrices (fibrosis) en el hígado causada por diversas afecciones y enfermedades hepáticas, como hepatitis y alcoholismo crónico. El hígado desempeña diversas funciones necesarias, que incluyen eliminar sustancias perjudiciales del cuerpo para desintoxicarlo, limpiar la sangre y producir nutrientes vitales.
La cirrosis se produce en respuesta a los daños en el hígado.
Cada vez que el hígado se lesiona, este intenta repararse por sus propios medios. En el proceso, se forma tejido cicatricial. A medida que la cirrosis avanza, se forma cada vez más tejido cicatricial, lo que dificulta el funcionamiento del hígado.
La cirrosis descompensada es la expresión utilizada para describir el desarrollo de complicaciones específicas que surgen debido a los cambios que acarrea la cirrosis.
La cirrosis descompensada es potencialmente mortal.

Comunícate Vía Whatsapp . . .
Selecciona un procedimiento
Gastroendoscopía
Colonoscopía
Enteroscopía
Endoscopía ERCP
Si tiene dudas referidas a posibles complicaciones, se recomienda consultar con su Médico
CENTRO HOSPITALARIO LA PAZ
4a. calle 23-61 zona 3 Quetzaltenango, Guatemala
(Anteriormente la Plaza Ciani)
Clínica: No. 423 Cuarto Nivel
Teléfonos Citas: 7761 7682, 7765 1739, Urgencias: 5020 2740, 3218 2524
E-Mail: contacto@gastrodigestxela.com
HOSPITAL PRIVADO LA DEMOCRACIA
13 Avenida 6-51 zona 3, Quetzaltenango, Guatemala
(Subiendo la Cuesta Blanca, frente a Edificio Médico San Lucas)
Clínica: No. 22, Segundo Nivel
Teléfono de citas: 7932 9820, Urgencias:5020 2740, 3218 2524
E-Mail: contacto@gastrodigestxela.com